Volume 51 Issue 02 March 2018
Research

Modelling Drug Dynamics in the Brain

While scientists have devoted much research to models of neural activity in the brain, they have paid little attention to modeling drugs that target the brain. Development of this class of drugs is very challenging and necessitates an understanding of the highly complex processes that govern the concentration profile of a drug in the brain over time. Since access to the brain for measurement purposes is very limited, a mathematical model is a helpful tool. But before we present a model, we must introduce some of the brain’s physiology and the processes that occur after medicine consumption.

The brain is interlaced with a network of blood capillaries (see Figure 1). Following intravenous or oral administration and subsequent intestinal absorption, the drug in question begins to circulate in the blood and primarily enters the brain from the arterial network by crossing the blood-brain barrier (BBB). One of the BBB’s principal functions is to limit transport into the brain and protect it from harmful substances, thereby preventing brain damage. When the drug does enter the brain through the BBB it circulates in brain fluids, such as the extracellular (ECF) and cerebrospinal fluids. It then binds to receptors on cells in ECF (see Figure 2). When a drug binds to a receptor, it leads to an effect in the body. Here we will focus on drug transport in ECF and the subsequent binding to receptors.

<strong>Figure 1.</strong> The brain and its interlacing capillary network. <strong>1a.</strong> The brain. <strong>1b.</strong> The network of capillaries that intertwines the brain. <strong>1c.</strong> Brain capillaries from the human cerebellar cortex. 1a and 1b are public domain images, and 1c is courtesy of [1].
Figure 1. The brain and its interlacing capillary network. 1a. The brain. 1b. The network of capillaries that intertwines the brain. 1c. Brain capillaries from the human cerebellar cortex. 1a and 1b are public domain images, and 1c is courtesy of [1].

Compartmental models are widely used in pharmacology, and have also been developed to model drug concentration in the brain. For example, [5] presents a general compartmental model of the central nervous system. Unfortunately, these models do not account for drug transport in ECF and other tissues, which mainly occurs via diffusion and bulk flow. Moreover, compartmental models do not consider receptor binding. A diffusion-advection equation can model drug transport where the drug is administered directly into the brain [2]. As a first step towards a full model of the brain, our model incorporates diffusion and flow in ECF, inflow through the BBB, and receptor binding.

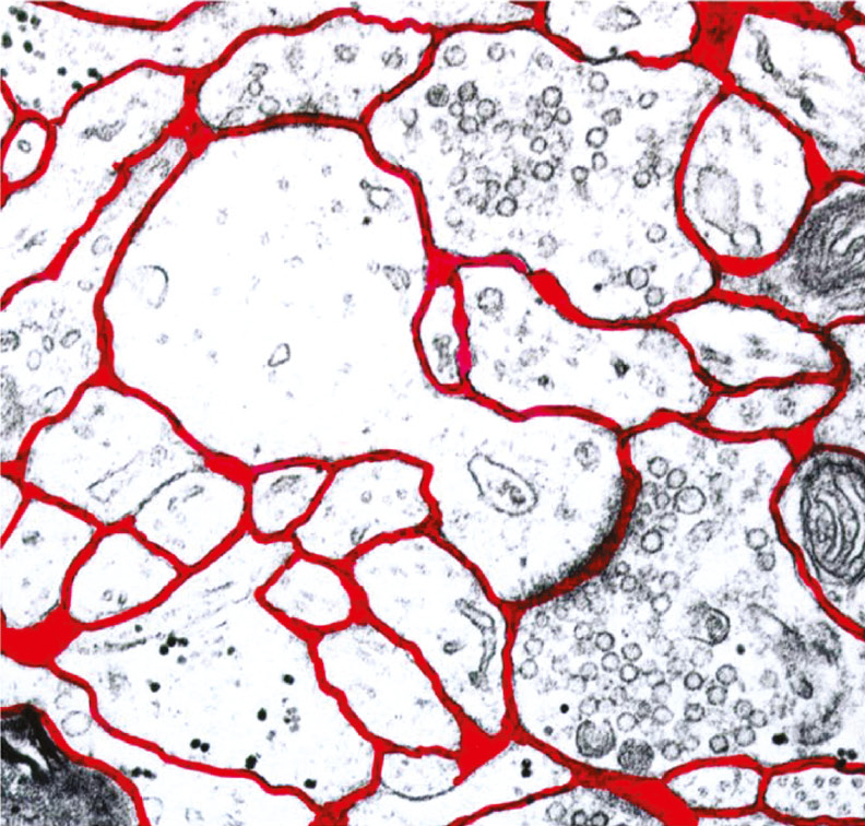
<strong>Figure 2.</strong> Cells in the brain lie in extracellular fluid (ECF). The fluid is coloured red. Image courtesy of [3].
Figure 2. Cells in the brain lie in extracellular fluid (ECF). The fluid is coloured red. Image courtesy of [3].

Though the brain is three-dimensional, we start by creating a model on a two-dimensional domain, which represents a tissue unit of brain ECF. This square domain is surrounded by brain capillaries and can be considered the smallest building block of the brain, in terms of drug distribution (see Figure 3). In the human brain, the distance between capillaries is on average 50µm. Cells with receptors are located inside the domain. We model drug transport in the unit by diffusion and bulk flow, assuming that the latter occurs in the \(x\)-direction. One can consider ECF a porous medium, as it is filled with many obstacles—such as cells and proteins—that limit diffusion. This leads to an effective diffusion smaller than normal (in a medium without obstacles). We model this with the so-called tortuosity \(\lambda\), thereby dividing the normal diffusion \(d\) by \(\lambda^2\), which results in a smaller diffusion coefficient. Tortuosity differs between drugs due to their varying sizes and deformabilities.

To formulate the model, we denote the concentration of free (unbound) drug by \(D\) and the concentration of receptor-bound drug by \(B\). This yields

\[\frac{\partial D}{\partial t} = \frac{d}{\lambda^2}\Delta L - \upsilon \triangledown L -\: k_{on}D(B_{max} - B) + k_{off}\:B, \\ \frac{\partial B}{\partial t} = k_{on}D(B_{max} - B) + k_{off}\:B,\]

where \(\upsilon\) is the speed of the flow. When a drug binds to a receptor, it forms a drug-receptor complex until it dissociates (unbinds) into drug and receptor again. We model this by the final terms in the \(D\)-equation, which represent receptor binding with a rate \(k_{on}\) and unbinding with a rate \(k_{off}\). The maximum concentration of receptors \(B_{max}\) limits the binding.

<strong>Figure 3.</strong> The two-dimensional unit of extracellular fluid, which contains cells with receptors and is bounded by blood capillaries. Concept for figure provided by Vivi Rottschäfer.
Figure 3. The two-dimensional unit of extracellular fluid, which contains cells with receptors and is bounded by blood capillaries. Concept for figure provided by Vivi Rottschäfer.

We assume that no drug is present in the brain at \(t=0\), and hence \(D(t=0)=0\) and \(B(t=0)=0\). We use boundary conditions to model the concentration of the drug in the blood and its crossing through the BBB. While drugs can cross the BBB via several mechanisms, including passive and active transport, we only analyse passive transport resulting from diffusion. At \(x=0\), this leads to 

\[d\frac{\partial D}{\partial x} = P (D - D_{blood}(t)),\]

and similar conditions at the other boundaries [4]. \(P\) is a measure of the permeability—transport through the BBB—and \(D_{blood}(t)\) describes the drug concentration in the surrounding capillaries’ blood. This can and will vary with time since the drug enters the blood and is thereafter eliminated from it.

The time dynamics of the concentrations is of interest, and this presents an important mathematical challenge as it differs from the “standard” question of behaviour of solutions as \(t\) becomes large; at larger \(t\), all of the drug is eliminated from the brain.

We perform simulations, study the free drug concentration and the bound complex concentration in the domain over time [4], and choose all coefficients in physiologically-relevant ranges. Many of the coefficients vary widely among different drugs; therefore, we examine the influence of changing various parameters on the concentration. As an example, we show results of the impact of changing the BBB’s permeability \(P\) on the concentration. After fixing the rest of the parameters and only changing \(P\), we plot the concentrations of the free drug \(D\) and bound drug \(B\) versus time in the middle of the domain (see Figure 4). We also plot the concentration of drug in the blood \(D_{blood}(t)\) (in red).

<strong>Figure 4.</strong> Influence of permeability through the blood-brain barrier (BBB). The effect of changing permeability <em>P</em> on the log concentration-time profiles of <em>D</em> and <em>B</em> for low, intermediate, and high <em>P</em>. Figure courtesy of [4].
Figure 4. Influence of permeability through the blood-brain barrier (BBB). The effect of changing permeability P on the log concentration-time profiles of D and B for low, intermediate, and high P. Figure courtesy of [4].

We vary \(P\) from the lowest possible physiological value to an intermediate, followed by a larger value. The lowest value of \(P\) corresponds to drugs that have difficulty crossing the BBB. When \(P\) is larger, the drug easily moves through the BBB and \(D\)’s profile strongly follows the profile of \(D_{blood}(t)\). In contrast, \(D\) increases and decreases more slowly when \(P\) is smaller because the drug both enters and leaves brain ECF more slowly. In Figure 4 (right), we plot \(B\) and observe that when \(P\) is of higher value, \(B\) rapidly increases to a maximum before quickly decreasing again. This decrease in \(B\) starts when there is not enough of the free drug present to bind to all the free receptors because it has flowed back through the more permeable BBB. In contrast, \(B\) increases more slowly and limits to a certain value when \(P\) is lower. \(B\) only decreases after time periods longer than those shown in the simulation.

As a next step, we are currently working on a three-dimensional model for a unit of the brain. We can form an entire brain by combining several of these units. This will yield a simplified model that will allow us to assign non-identical parameter values to different units, thus accounting for brain heterogeneity. For example, receptors are not distributed evenly in the brain; drugs target different regions, and receptor concentrations can vary per region. A local disease can also greatly influence the parameters.

A broad range of opportunities exists for mathematicians to collaborate with pharmacologists in various areas, even beyond brain modelling. Among the challenges for modelers is the need for a combination of biological processes with drug influence. We strongly believe that this calls for the continued development of mathematical pharmacology.


Acknowledgments: This is based on joint research with Esmée Vendel (Mathematical Institute) and Liesbeth de Lange (Leiden Academic Centre for Drug Research), both of Leiden University.

References

[1] Ferber, D. (2007). Bridging the Blood-Brain Barrier: New Methods Improve the Odds of Getting Drugs to the Brain Cells That Need Them. PLoS Bio., 5(6), e169.
[2] Nicholson, C. (2001). Diffusion and related transport mechanisms in brain tissue. Rep. Prog. in Phys., 64(7), 815.
[3] Perkins, K., Arranz, A., Yamaguchi, Y., & Hrabetova, S. (2017). Brain extracellular space, hyaluronan, and the prevention of epileptic seizures. Rev. Neurosci., 28(8), 869-892.
[4] Vendel, E., Rottschäfer, V., & de Lange, E.C.M. (2018). Improving the prediction of local drug distribution profiles in the brain with a new 2D mathematical model. Special Issue of Bull. Math. Bio.: Mathematics to Support Drug Discovery and Development (submitted).
[5] Yamamoto, Y., Välitalo, P.A., van den Berg, D.-J., Hartman, R., van den Brink, W., Wong, Y.C.,…,de Lange, E.C.M. (2017). A Generic Multi-Compartmental CNS Distribution Model Structure for 9 Drugs Allows Prediction of Human Brain Target Site Concentrations. Pharm. Res., 34(2), 333-351. 

About the Author